×
欢迎光临本店! 登录 注册
服务热线:

400-000-7085

购物车暂无商品,赶紧选购吧!
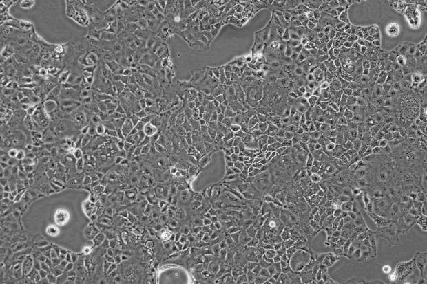
Caco-2细胞(人结直肠腺癌细胞)
Caco-2细胞(人结直肠腺癌细胞)
  • 商品货号:CL0856
  • 活动价: ¥1500元
    市场价:¥1710元
    已售 47 件 | 评价 0 人次 | 关注度 3609
    • 组织来源:结肠
    • 细胞种属:人源
    • 生长特性:贴壁
    • 形态特征:上皮样
    • 传代方法:建议传代比例为1:4至1:6
    • 培养条件:MEM+20%FBS+1%P/S  胎牛血清至最终浓度为10%。环境:空气,95%;二氧化碳(CO2),5%;温度,37℃
    • 细胞描述:疾病结直肠腺癌 72岁 性别男 种族高加索
    • str鉴定情况: Amelogenin: X CSF1PO: 11 D13S317: 11,13,14 D16S539: 12,13 D5S818: 12,13 D7S820: 11,12 THO1: 6 TPOX: 9,11 vWA: 16,18
    • 细胞数量:1*10^6
    • 细胞冻存:液氮冻存(冻存液基础培养基+20%FBS+10%DMSO)
    • 细胞运输:干冰运输(2ml冻存管)或活细胞运输(T25瓶)
    STR鉴定
    STR位点信息
    STR鉴定图
    Amelogenin X
    CSF1PO 11
    D1S1656 15,16
    D2S1338 17,25
    D3S1358 14,17
    D5S818 12,13
    D7S820 11,12 (ATCC=HTB-37; CCRID; CLS=300137; DSMZ=ACC-169; ECACC=09042001; ECACC=86010202; PubMed=25877200; PubMed=25926053; RCB=RCB0988) 12 (AddexBio=C0009009/29)
    D8S1179 12 (DSMZ=ACC-169; PubMed=11416159) 12,14 (ATCC=HTB-37; CCRID; CLS=300137; PubMed=25877200)
    D10S1248 13,15
    D12S391 17,23
    D13S317 11,13,14
    D16S539 12,13
    D18S51 12
    D19S433 15
    D21S11 30 (DSMZ=ACC-169; PubMed=11416159; PubMed=25877200) 30,32 (ATCC=HTB-37; CCRID; CLS=300137; PubMed=25926053)
    D22S1045 15,16
    FGA 19
    Penta D 9 (DSMZ=ACC-169) 9,11 (ATCC=HTB-37; PubMed=25877200)
    Penta E 7
    SE33 21
    TH01 6
    TPOX 9,11
    vWA 16,18

    参考文献

    Alginate oligosaccharide structures differentially affect DSS-induced colitis in mice by modulating gut microbiota(2023-07-15)
    IF: 12.50
    作者:Shuang Lu,Kai Na,Jiani Wei,Ting Tao,Li Zhang...
    单位:College of Life Science, South-Central Minzu University, No. 182, Minyuan Road, Hongshan District, Wuhan City, Hubei Province 430074, China
    期刊: Carbohydrate Polymers
    DOI: 10.1016/j.carbpol.2023.120806
    PGM5 is a promising biomarker and may predict the prognosis of colorectal cancer patients(2019-10-01)
    IF: 5.30
    作者:Yifan Sun, Haihua Long, Lin Sun, Xiujuan Sun, Liping Pang, Jianlin Chen, Qingqun Yi, Tianwei Liang and Yongqi Shen
    单位:柳州市柳铁中心医院
    期刊: Cancer Cell International
    DOI: 10.1186/s12935-019-0967-y
    L-Alanine promotes anti-infectious properties of Bacillus subtilis S-2 spores via the germination receptor gerAA(2023-07-13)
    IF: 4.40
    作者:Shuang Lu, Xianying Liao, Wei Lu, Li Zhang, Kai Na, Xiangyu Li & Xiaohua Guo
    单位:College of Life Science, South-Central Minzu University, No. 182, Minyuan Road, Wuhan City, 430074, China
    期刊: Probiotics and Antimicrobial Proteins
    DOI: 10.1007/s12602-023-10121-2
    The LncRNA FEZF1-AS1 promotes tumor proliferation in colon cancer by regulating the mitochondrial protein PCK2(2022-08-01)
    IF: 2.00
    作者:HUAMIN WANG YANTING WU ZHENLEI WANG YUHANG CHEN JINYU MO WEN GUAN YALI ZHANG HONGLIANG YAO
    单位:中国科学院广州动物研究所
    期刊: Oncology research
    DOI: 10.32604/or.2022.03553