×
欢迎光临本店! 登录 注册
服务热线:

400-000-7085

购物车暂无商品,赶紧选购吧!
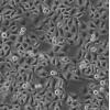
COV434细胞(人卵巢颗粒肿瘤细胞)
COV434细胞(人卵巢颗粒肿瘤细胞)
  • 商品货号:CL0076
  • 活动价: ¥1500元
    市场价:¥2500元
    已售 7 件 | 评价 0 人次 | 关注度 1878
    购买过此商品的人还购买过
    浏览历史清除
    • 细胞信息
     
    发货规格 1×10⁶
    别名 COV-434; COV 434
    形态 上皮细胞样
    生长特性 贴壁
    培养条件 McCOY’s 5A+10%FBS+1%P/S
    冻存条件 90%FBS+10%DMSO
    传代方式 胰酶消化
    传代比例 1:2~1:4
    换液频率 每周2~3次
    • 细胞背景
     
    种属 人源
    组织来源 卵巢
    肿瘤类型 卵巢小细胞癌
    供体信息 26岁女性
    STR鉴定
    STR位点信息
    STR鉴定图
    Amelogenin X
    CSF1PO 10,11
    D3S1358 15,19
    D5S818 10,11
    D7S820 8
    D8S1179 13,14
    D13S317 8,12
    D16S539 9,12
    D18S51 10,15
    D21S11 28
    FGA 24,25
    Penta D 10,12
    Penta E 12
    TH01 9.3
    TPOX 9,11
    vWA 16,18