×
欢迎光临本店! 登录 注册
服务热线:

400-000-7085

购物车暂无商品,赶紧选购吧!
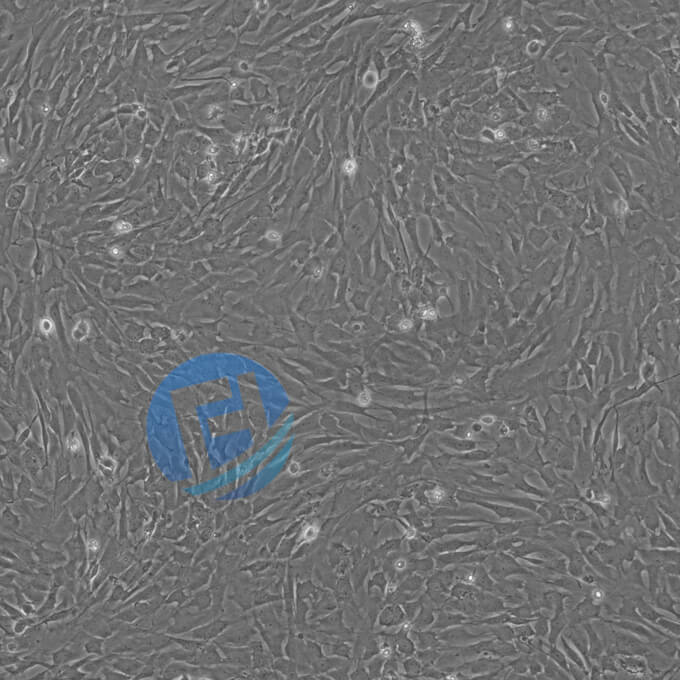
大鼠气道平滑肌细胞
大鼠气道平滑肌细胞
  • 商品货号:FHRAT-CELL-0005
  • 活动价: ¥3980元
    市场价:¥4776元
    已售 10 件 | 评价 0 人次 | 关注度 2163
    • 产品规格:5*105 细胞数/1ml
    • 细胞简介:大鼠气道平滑肌细胞主要功能:(1) 平滑肌细胞能保持气道张力,维持气道管状形态。(2) 气道进行气体流通,保持肺部通气。大鼠气道平滑肌细胞与主要病生理变化:(1) 慢性气管炎。(2) 气道肿瘤。(3) 气管息肉。丰晖生物大鼠气道平滑肌细胞的基本特性:(1) 组织来源于正常大鼠气道组织。(2) 鉴定:肌动蛋白,alpha-SMA和Desmin免疫荧光染色。(3) 原代细胞培养末期液氮冻存。(4) 每冻存管细胞数:>5×105 cells/1ml。(5) 肌动蛋白,alpha-SMA和Desmin免疫荧光染色验证。(6) 不含有HIV-1、 HBV、HCV、支原体、细菌、酵母和真菌。丰晖生物大鼠气道平滑肌细胞的其它:(1) 推荐培养基:丰晖生物。编号:M-0003和S-0003。(2) 产地:中国。(3) 品牌:丰晖生物。(4) 储存:液氮。(5) 运输:干冰。(6) 用途:只可用于科研。