×
欢迎光临本店! 登录 注册
服务热线:

400-000-7085

购物车暂无商品,赶紧选购吧!
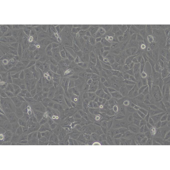
T98G-EGFP
  • 商品货号:WZ02014
  • 活动价: ¥1999元
    市场价:¥2279元
    已售 7 件 | 评价 0 人次 | 关注度 1236
    浏览历史清除

     

    产品中文名称 人胶质母细胞瘤稳定表达GFP稳转株
    细胞生长状态 贴壁
    细胞培养条件 MEM+10%FBS+1%P/S+NEAA
    荧光标签 EGFP
    筛选抗性 puro
    保存培养温度(℃) 37℃